Лечение кариеса
с гарантией
по доступной цене в Астане
До 20 февраля скидка 40%
Предлагаем полный комплекс услуг — от профилактики до сложных процедур, уделяя особое внимание вашему здоровью и комфорту

Лечим кариес, пульпит,
периодонтит любой сложности
Гарантия и своевременное
обслуживание
Стоматология для тех, кто
выбирает комфорт и высокое качество

Постоянные акции
и скидки
Регулярно запускаем выгодные предложения и специальные программы для наших пациентов. Это позволяет проходить лечение качественно и без лишней финансовой нагрузки

Стоматологи с опытом
10 лет +
В нашей команде работают квалифицированные врачи с многолетней практикой. Опыт и постоянное обучение позволяют добиваться стабильных и прогнозируемых результатов

Полный спектр стоматологических услуг
Предоставляем все виды стоматологической помощи: от профилактики и лечения до протезирования и имплантации. Решаем любые задачи в одном месте

Современное
оборудование
Используем передовые технологии и высокоточное оборудование. Это обеспечивает точную диагностику, комфорт во время лечения и высокий уровень безопасности
Полный спектр лечения для здоровья
и красоты вашей улыбки

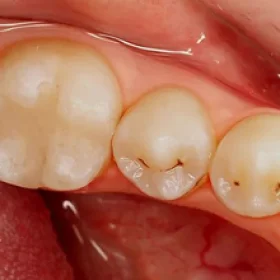
Лечение поверхностного кариеса
Поверхностный кариес считается начальной и относительно лёгкой формой поражения зуба, однако он всё равно требует профессионального лечения. Врач-стоматолог тщательно удаляет налёт и поражённые ткани, чтобы остановить дальнейшее развитие заболевания.
Для изоляции зуба используется коффердам — он защищает рабочую область от влаги и внешних раздражителей. После этого поверхность обрабатывается специальными средствами для очистки и подготовки к пломбированию.
Завершающим этапом лечения является установка и тщательная шлифовка пломбы, что позволяет восстановить анатомическую форму и эстетику зуба. В стоматологии Siberia Clinic применяются современные пломбировочные материалы премиального качества, обеспечивающие долговечный и надёжный результат.

Лечение среднего кариеса
Лечение среднего кариеса практически всегда проводится под местной анестезией. Первым этапом врач очищает зуб от налёта и иссекает некротизированные ткани. Затем с помощью коффердама изолируется рабочее поле, после чего полость обрабатывается антисептиками и специальными адгезивными системами.
Завершающий этап — реставрация зуба пломбировочным материалом с последующей шлифовкой и полировкой.
Промедление превращает средний кариес в пульпит, а лечение становится сложнее и дороже. Не ждите боли — запишитесь на диагностику к нашим специалистам уже сегодня!

Лечение глубокого кариеса
Глубокий кариес — финальная стадия кариозного процесса, при которой разрушению подвергаются глубокие слои дентина. Патология может быть первичной (прогрессирование среднего кариеса) либо вторичной (развитие под ранее установленной пломбой).
Выделяют также хроническую форму заболевания. Без своевременного вмешательства глубокий кариес неизбежно переходит в пульпит и периодонтит.
Инфекция уже вплотную подобралась к нерву. С каждым днём риск необратимых последствий растёт. Не ждите острой боли — запишитесь на лечение прямо сейчас, пока зуб ещё можно спасти без удаления!

Лечение пульпита
Пульпит — это осложнение запущенного глубокого кариеса, представляющее собой воспаление пульпы. Важно понимать: пульпа — это не только нервные окончания, но и сеть кровеносных сосудов, обеспечивающих жизнеспособность и питание зуба.
Её воспаление грозит не просто болью, а гибелью зуба изнутри.
Воспалённый нерв не успокоится сам. Либо вы лечите пульпит сейчас, либо готовьтесь к удалению нерва, а в перспективе — и всего зуба. Не дайте инфекции разрушить зуб полностью. Запишитесь на приём, пока не стало слишком поздно!
На услуги нашей клиники сейчас действует дополнительная скидка 40%
Ваш бюджет скажет спасибо, а зубы — спасибо вдвойне Только сейчас лечиться у нас не только полезно и комфортно, но ещё и очень выгодно.
Зафиксируйте сниженную цену прямо сегодня
Мы лечим зубы, а получаем благодарность
И это лучшее, что может быть в нашей профессии
Наши стены, ваша
уверенность в здоровье зубов
Запишитесь к нам на приём уже сегодня!
Скидки, которые не будут ждать вечно!
Мы запустили акцию, но надолго она не задержится. Поймайте момент и позаботьтесь о зубах на самых комфортных условиях
Контактная информация
Администратор:
+7‒708‒029‒06‒06
Мессенджеры и соц. сети:
г. Астана
Кабанбай батыр проспект, 7/2